fbpx

Le novità dei prossimi mesi!

 Abbiamo in programma novità entusiasmanti

SCOPRI QUALI


Metaplasia della vescica

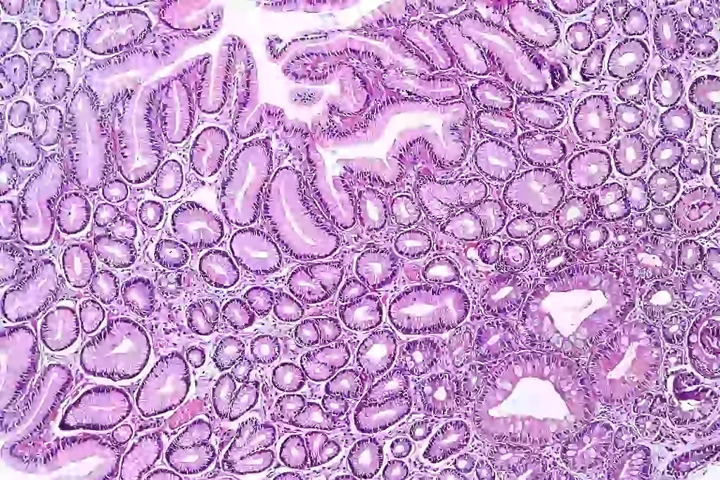
La metaplasia, chiamata anche cistite trigonale, trigonite pseudomembranosa, trigonite granulare, o uretrotrigonite, è un insieme di placche bianco-grigiastre in rilievo (tipo gli Appennini su un plastico geografico tridimensionale). Queste placche interessano prevalentemente il trigono vescicale (la parte posteriore ed inferiore della vescica). 
La metaplasia può e dovrebbe essere considerato un tessuto vescicale fisiologico.

La normale e non patologica metaplasia, in risposta ai continui stimoli irritanti infettivi, estrogenici, infiammatori e meccanici, può però trasformarsi in un tessuto cheratinizzato, cioè duro, ispessito e senza elasticità: la leucoplachia.

 reni e vescica2 800x600

Metaplasia

Cos'è la metaplasia?

Il trigono, l'uretra e la vagina hanno la stessa origine embrionale, pertanto i tessuti di queste tre strutture saranno molto simili. Essendo molto simile al tessuto squamoso vaginale, il tessuto del trigono sarà molto suscettibile alla variazione degli estrogeni durante il ciclo mestruale e diventa più spesso e più evidente a causa di vari stimoli irritativi cronici: ormonali, chimici, infettivi, meccanici. È stato evidenziato infatti che la somministrazione di estrogeni causa l'ispessimento del trigono e l'estensione delle placche. La metaplasia, infatti, insorge in donne fertili (quando la quantità di estrogeni è massima, è assente prima dell'adolescenza, è rarissima negli uomini, diminuisce o scompare con la menopausa, varia durante le fasi del ciclo mestruale, parallelamente a ciò che avviene nel tessuto vaginale.

Si deve perciò considerare la metaplasia come un reperto normale e non patologico.
In uno studio su vesciche di cadaveri, il 72% presentava un trigono con aree di metaplasia squamosa, suggerendo che la metaplasia è una rilevazione frequentissima anche in chi non ha sintomi urologici.

Se si sottoponesse ogni donna asintomatica a cistoscopia, risulterebbe, che tantissime hanno metaplasia del trigono più o meno marcata. E questo è indice dell'innocuità della metaplasia. Una donna sana però non farebbe mai una cistoscopia, quindi questo dato non emerge, mentre coloro che la subiscono hanno sempre sintomi urologici; di conseguenza viene attribuita alla metaplasia la responsabilità dei disturbi riportati dalla Paziente. Così viene diagnosticata “trigonite” (ricordo che la desinenza “ite” indica infiammazione), sebbene non sia presente alcun segno infiammatorio, che verrà successivamente trattata con antinfiammatori, cortisonici ed elettrocoagulazione, pur non essendo assolutamente necessari.

Approfondimento: cistoscopia

Gli urologi Larosa. Facchini, Pozzoli e Monica scrivono:

“...i termini metaplasia squamosa non cheratinizzante o metaplasia vaginale del trigono sono “etichette” improprie ed esprimono la nostra incapacità di riconoscere che la presenza di epitelio vaginale sulla mucosa del trigono o dell’uretra rappresenti una condizione normale; questa incapacità ha rappresentato la causa prima nella coniazione di termini cistoscopici come “trigonite” o “cervicotrigonite” o anatomo-patologici come “metaplasia squamosa”o “vaginale del trigono”, mentre invece dovremmo parlare di reperto normale di epitelio squamoso.

Molto spesso in passato abbiamo utilizzato etichette di comodo per identificare come affette da cervico-trigonite pazienti con frequency, urgency, dolore sovrapubico o uretrale, nelle quali non siamo stati capaci di identificare chiare eziologie organiche (infezioni, neoplasie, ostruzione meccanica o funzionale cervico-uretrale ecc.).”

“Nel 2002, sempre seguita dallo stesso urologo, sono sottoposta ad intervento di diatermocoagulazione per sospetta metaplasia del trigono vescicale. Per farla breve, nessun risultato e cistiti ancora continue.”
Giada 14/05/2011 (cistite.info)

Leucoplachia - leucoplasia

Cos'è la leucoplachia?

La normale e non patologica metaplasia, in risposta ai continui stimoli irritanti infettivi, estrogenici, infiammatori e meccanici, può però trasformarsi in un tessuto cheratinizzato, cioè duro, ispessito e senza elasticità: la leucoplachia. La leucoplachia viene frequentemente riscontrata infatti in pazienti con cistite cronica, cistite interstiziale, calcolosi vescicale, in portatori di catetere vescicale a permanenza ed in pazienti con carenza di vitamina D.

Il termine leucoplachia o leucoplasia significa “placche bianche”. Il nuovo tessuto formato infatti ha un aspetto bianco, in rilievo, ispessito. Al di sotto di questo strato di leucoplachia la mucosa è erosa, talvolta emorragica ed imperniata di sostanze infiammatorie, che possono raggiungere anche lo strato muscolare sottostante alterando anche a questo livello le cellule che lo compongono. Anche il tessuto tra una placca e l'altra risulta irritato e sofferente. L'ispessimento della parete vescicale può raggiungere anche i 3 cm.

Approfondimento: come è fatta la vescica

Approfondimento: GAG

"Dite che non sapete cosa sia la leucoplachia...io posso provare a spiegarvi cosa mi hanno detto in merito il mio dottore e l'urologo. La leucoplachia o leucoplasia (in greco leucòs significa bianco) è una formazione che si crea nella vescica in seguito a ripetuti episodi di infiammazione causati, per es., dalla cistite...il mio medico mi ha detto (ed io lo ripeterò con parole mie) che la parete della vescica è formata da uno strato di 3 tipi di cellule..quelle più superficiali sono atte alla continua riproduzione, nel senso che si sfaldano e muoiono con facilità per "ripulire" in continuazione la vescica. Nel corso di un'infezione, però, il loro processo di "estinzione" è più rapida rispetto alla loro capacità di riproduzione e pertanto l'organismo, per evitare che parte della mucosa rimanga "scoperta", la "rimpiazza" con cellule più resistenti che fanno parte di uno strato inferiore.
Sono cellule cornee (e che sono, appunto, bianche)...ed essendo più resistenti resistono ai continui attacchi dei batteri (nel caso di cistiti recidivanti) e non muoiono come le altre.”
Madda76 07/03/2009 (cistite.info)

La leucoplachia del trigono è un reperto comunissimo tra le donne sottoposte a cistoscopia e biopsia. Se non subentra un'eccessiva cheratinizzazione, la leucoplachia regredisce con il regredire dell'infiammazione. Più è avanzato il processo di cheratinizzazione e più la leucoplachia diventa irreversibile. La leucoplachia è considerata una lesione precancerosa perché presenta, rispetto a una metaplasia normale, una potenzialità maggiore di trasformazione in carcinoma a cellule squamose. È doveroso sottolineare però che la frequenza di tumore vescicale nella donna è di circa una su 100.000 e che fra queste pochissime donne solo il 2% ha un carcinoma a cellule squamose, cioè che origina da tessuti leucoplasici. Il restante 98% dei tumori vescicali deriva da tessuti senza leucoplasia (cioè da tessuto transizionale “normalissimo”). Considerando quindi la ridotta frequenza di tumore vescicale squamoso e l'elevata casistica diagnostica di leucoplasia nelle donne sottoposte a cistoscopia, risulta infondato l'eccessivo allarmismo che viene fatto sulla concerogenicità di questa alterazione vescicale.

Alcuni autori sostengono che la sintomatologia della leucoplachia sia simile a quella delle cistite batterica e che giustifichi i sintomi in caso di urinocoltura negativa. Altri autori invece affermano che la leucoplachia è solo una diagnosi di comodo, che viene fatta laddove non si riesca a trovare una causa ai sintomi riferiti dalla Paziente.

I sostenitori della leucoplachia sintomatica tenderanno a curare la leucoplachia inizialmente con l'instillazione vescicale di antinfiammatori, cortisone e nitrati d'argento ed in caso di inefficacia con la rimozione chirurgica della lesione leucoplasica.

I sostenitori della leucoplachia asintomatica, comune ed innocua, tenderanno invece a non toccare questa lesione ritenendo inutile e dannosa l'asportazione chirurgica. Se non viene rimossa la causa che ha portato allo sviluppo della leucoplachia, essa tenderà infatti a riformarsi a distanza di brevi o lunghi periodi. Inoltre il tessuto sottoposto a questo tipo di intervento rischia di essere molto più rigido, cicatriziale, meno elastico e maggiormente a rischio di infezioni in quanto perderebbe le sue capacità difensive. D'altra parte è vero che anche un tessuto leucoplasico è un tessuto malmesso, ma mentre la leucoplachia può regredire, una cicatrice resterà sempre una cicatrice.

Chi ha ragione? Non resta che affidarci alle testimonianze delle donne con leucoplachia del trigono.

molti dottori non consigliano la loro "bruciatura" col laser, perché, in caso di cistiti recidivanti, il processo si potrebbe tranquillamente ripetere e quindi non avrebbe senso subire un intervento (anche se in day hospital), per una cosa che ti può tornare dopo un mese e che, tra l'altro, non comporta nulla di dannoso...se leggete che è una forma precancerosa, non vi preoccupate, perché non è così...me l'ha assicurato il mio urologo (ex primario della mia città...quindi, si spera che almeno qst lo sapesse!!! )
P.S. so tutto ciò perché anche io ho una leucoplachia trigonale (tipica nei casi di cistiti ripetute!)”
Madda76 07/03/2009 (cistite.info)
“La bruciatura del trigono è stato uno dei numerosi tentativi, inutili tentativi, di una povera esasperata e alla frutta. Ma infatti penso che sia una pratica non più effettuata, o almeno lo spero.
Credo che non faccia altro che peggiorare la situazione dei nervi sottostanti la vescica, infiammandoli ancora di più. Quindi te lo sconsiglio vivamente!!
Tra l'altro non si capisce neanche che diavolo di pratica sia, dovrebbe bruciale lo strato superiore e permettere a quello sottostante di crescere nuovo e sano, ma evidentemente non funziona così per la parete vescicale, anzi la rende più fragile”
Bedelia67 (27/10/2009) (cistite.info)
“io sono stata consigliata dall'urologo a non cauterizzare le leucoplachie proprio perché tendono a riformarsi e poi perché lui stesso mi ha detto che la teoria precancerosa è da prendersi moooooolto con le pinze...per la serie, è una cosa molto comune tra le donne che hanno avuto anche solo qualche recidiva e quindi se dovesse essere qst a provocare il tumore alla vescica, allora...ce l'avremmo tutte!
Cmnq, le teorie sono discordanti sul toglierle o meno...ma l'esperienza (come la tua), ci insegna che tornano...eccome se tornano!!!!”
Madda 07/03/2009 (cistite.info)
“Mi trovarono la leucoplachia nella prima cistoscopia che ho fatto, mi furono proposte dieci instillazioni di nitrato d'argento che sospesi alla seconda perchè provocavano fortissimi bruciori, nell'ambulatorio con me c'erano molte ragazze che di nitrato hanno fatto tutto il ciclo, se poi non funzionava (cosa assai probabile) si passava alla resezione della leucoplachia, io me la sono data a gambe prima.
In seguito, alla asl ho incontrato una ragazza che fece sia il nitrato che la resezione, era disperata....mi disse che non solo i sintomi erano peggiorati, ma subito dopo era insorta incontinenza urinaria tanto che usciva con il panno
(…) In seguito chiesi al Dott. Porru, lui disse che loro non la fanno più da tantissimi anni avendo capito che tanto poi si riforma e non è utile al fine di miglioramenti
Disse anche che è stata riscontrata in parecchie cistoscopie di vesciche con c.i.
Spero di essere stata utile
P.S. Se fosse stato uno stadio precanceroso, dopo sei anni magari non sarei neppure qui
Mariluna (16/02/2010) (cistite.info)

  

Bibliografia

  1. “La percezione del dolore pelvico: fattori predittivi e implicazioni cliniche” A. Graziottin, Lettura magistrale, 56° Convegno della Società degli Urologi del Nord Italia (SUNI), Saint Vincent (AO), 25-27 ottobre 2007
  2. “Fisiologia del dolore” www.wikipedia.org
  3. “I leucotrieni (parte seconda)” G. Bartolozzi. . Medico e Bambino pagine elettroniche 2008; 11(3) http://www.medicoebambino.com/?id=OS0803_10.html
  4. “Manuale di chirurgia generale vol II” G. Fegiz, D. Marrano, U. Ruberti, Piccin 1996
  5. “Cronologia di una scoperta” R. L. Montalcini, 2009, Baldini Castoldi Dalai, pagg 99/104
  6. “Metodologia diagnostica: semeiotica medica e diagnosi differenziale” C. Sacchetti, Piccin 1991, pagg 136-144
  7. “Recenti acquisizioni in tema di neuropatie cutanee allodinie, vestibolodinia e fibromialgia“ C. Torresani, Università degli Studi di Parma
  8. “Il dolore” AIST (associazione italiana per lo studio della terapia del dolore e dell’ipnosi clinica)
  9. “Dalla lateralità emisferica ai neuroni specchio,un nuovo paradigma per la nuova ipnosi” C. Antonelli, M. Luchetti, acta anaesthesiologica italica vol.58 n. 4, 2007, La Garangola - Padova (pag.376 – 400)
  10. “Nonpharmacological and noninvasive Management of Pain: Phisical and Psycological Modalities” M. P. Brugnoli, A. Norsa, La Grafica Editrice. 2006
  11. “Valutazione del ruolo della batteriuria asintomatica nella prevenzione delle recidive sintomatiche nelle giovani donne affette da UTI ricorrenti...” F. Meacci, T. Cai, N. Mondaini, L. G. Luciani, D. Tiscione, G. Malossini, S. Mazzoli, R. Bartoletti, 84°congresso nazionale SIU, Roma 23-26 ottobre 2011
  12. “Medicina preventiva e riabilitativa” A. Zangara, Piccin, 1996, pagg 491-494
  13. “Segni e sintomi della medicina d'emergenza” S. R. Votey, M. A. Davis, Elsevier Masson, 2008, pagg 39/40
  14. “Diagnostica per immagini dell'apparato urogenitale” L. Grazioli, Springer editore, 2008, pagg 146-148
  15. “Manuale Merck per medici” http://www.msd-italia.it/altre/geriatria/sez_12/sez12_100.html
  16. “Manuale di citopatologia” A. Vecchione, Piccin editore
  17. “Anatomia patologica clinica” M. Raso, Vol II, Piccin editore
  18. “Cistite pseudomembranosa: ha senso parlarne ancora oggi?” M. Larosa, F. Facchini, G.L. Pozzoli, B. Monica. Dagli atti del 56° convegno nazionale di Saint Vincent della società degli urologi del nord italia. Volume 75 n. 2, S-10
  19. “tumori della vescica” da www.urologiaverona.net/patologia/tumori/tum_vescica.htm