fbpx

Le novità dei prossimi mesi!

 Abbiamo in programma novità entusiasmanti

SCOPRI QUALI


Libro su caso di studio sulla Risonanza magnetica nella diagnosi della Cistite interstiziale

"Role of Diffusion-Weighted Magnetic Resonance Imaging in the Diagnosis of Bladder Pain Syndrome/Interstitial Cystitis"

Porru Daniele, Regina Cesare, Oworae Howardson Bright, Fiorello Nicolo, Gardella Barbara, Manzoni Federica, Klersy Catherine, Sala Maria Gabriella, La Fianza Alfredo, Ballerini Daniela, Preda Lorenzo, Simeone Claudio, Spinillo Arsenio, and Jallous Hussein

 

Abstract

OBIETTIVO Valutare se la risonanza magnetica di diffusione (DW-MRI) può contribuire alla diagnosi non invasiva della Sindrome del dolore vescicale/Cistite interstiziale (BPS/CI). L'accordo tra i due rilevatori (2 radiologi coinvolti nello studio) è stato importante nel definire la rilevanza della variabile "operatore dipendente".
PAZIENTI E METODI Ventidue pazienti donne con diagnosi di BPS-IC sono state reclutate e ritenute idonee ad eseguire la DW-MRI. Lo stesso esame è stato eseguito anche in 20 pazienti con disturbi pelvici ginecologici pelviche, ma senza BPS-CI.
RISULTATI È stata rilevata una differenza significativa tra BPS-IC e non-BPS-CI: nel primo gruppo sono risultati positivi 17 soggetti su 22, mentre nel secondo gruppo 3 soggetti su 20, con un valore P di .001, statisticamente sinìgnificativo. La sensibilità dell'esame è stata del 77%, mentre la specificità è stata dell'85%. C'è stato un buon accordo tra i 2 radiologi nella valutazione degli esiti della risonanza magnetica.
CONCLUSIONE La DW-MRI contribuisce ad ottenere una diagnosi non invasiva di BPS / IC, fornendo informazioni utili sulla scelta di quali pazienti possono essere sottoposti in modo più appropriato alla cistoscopia e alla biopsia vescicale. UROLOGIA 141: 55−59, 2020. © 2020 Elsevier Inc.

 

 

La sindrome del dolore vescicale o cistite interstiziale (BPS/IC) è una condizione clinica caratterizzata da sensazione di dolore, pressione e disagio percepito a livello vescicale, associata ad almeno 1 sintomo urinario, di solito frequenza urinaria e urgenza, che dura da più di 6 mesi, con esame colturale delle urine ripetutamente negativo.1

Il primo studio epidemiologico è stato condotto da Oravisto in Finlandia analizzando i pazienti tra 1 milione di persone reclutate nello studio.2 La prevalenza era di 18/100.000 nella popolazione femminile, 10.6/100.000 comprendendo i pazienti di sesso femminile e maschile, i pazienti di sesso maschile rapprentavano il 10% del totale. La diagnosi è stata fatta combinando le caratteristiche cliniche con la cistoscopia in idrodistensione, da cui risultava una gravità compresa tra 1 e 3, e con l'esame istologico della biopsia vescicale, che consentiva di ottenere un indice descrittivo della malattia.

La sindrome del dolore pelvico cronico può essere associata a sintomi urologici, ginecologici, fisiatrici, neurologici.
Nel campo urologico, il dolore può essere percepito come associato al testicolo, all'epididimo, alla prostata, alla vagina, alla vulva, alla vescica e, in senso lato, può essere inclusa anche la cistite interstiziale, descritta secondo i criteri stabiliti dall'Associazione per lo studio della cistite interstiziale europea (ESSIC), condivisi dalla comunità scientifica.

Alcuni studi hanno considerato l'introduzione di tecniche di immagine non invasive nelle procedure diagnostiche, in particolare la risonanza magnetica. Nel 2016, Towner et al3 hanno analizzato l'uso della risonanza magnetica con contrasto intravescicale per valutare l'aumento della permeabilità vescicale, osservare la correlazione con i sintomi, e classificare e monitorare i progressi della malattia dei pazienti. Charlanes et al4 hanno cercato di determinare se i pazienti con BPS / CI rilevassero segnali di iperintensità della vescica attraverso la  risonanza magnetica (DW-MRI).

 

Pazienti e metodi

Sono state reclutate ventidue pazienti donne con diagnosi di BPS-CI stabilita sulla base delle caratteristiche cliniche indicanti BPS-CI, sottoposte a cistoscopia, idrodistensione e biopsia vescicale. Sono state reclutate e sottoposte DW-MRI tra gennaio 2018 e marzo 2019. Lo stesso esame è stato condotto anche in un gruppo di 20 pazienti con patologie ginecologiche pelviche benigne senza BPS-IC, selezionati come controlli per confrontare i risultati radiologici osservati nello studio della parete vescicale.

I criteri di esclusione erano:

  • età <18 anni
  • patologie sovrapponibili (p. es. neuropatia del pudendo, ecc.) secondo i criteri ESSIC5
  • Infezioni ricorrenti del tratto urinario
  • Gravidanza e allattamento
  • Claustrofobia

Sono stati valutati i seguenti parametri:

  • data della cistoscopia sotto sedazione con idrodistensione e biopsia vescicale, incluso muscolo detrusore,
  • durata della malattia intesa come intervallo trascorso tra la procedura diagnostica e la data della risonanza magnetica,
  • grado di intensità del segnale,
  • siti vescicali in cui l'intensità del segnale della risonanza è stata riscontrata,
  • i risultati del questionario Short Form 36 (SF-36), comprensivi delle risposte alle domande nei seguenti ambiti: attività fisica, dolore fisico, salute generale, vitalità, attività sociali, limitazione nel ruolo emotivo, salute mentale.

Gli studi di validazione hanno mostrato che l'SF-36 riesce a diistinguere la popolazione normale dai pazienti con malattie psichiatriche o disturbi fisici e consente di discriminare tra
gruppi con condizioni cliniche severe e gruppi con disturbi moderati. L'indice chiamato Physical Component Summary (PCS) riguarda lo stato fisico, mentre il Mental
Component Summary (MCS) misura lo stato mentale.

La risonanza magnetica pelvica dei pazienti con BPS-CI e i controlli erano prospetticamente esaminati da 2 radiologi che non erano a conoscenza della diagnosi medica e dell'indicazione alla risonanza. Per ogni caso il radiologo ha esaminato immagini ponderate multiplanari T2, la traccia DWI acquisita con bvalue di 800, 1000 o 1.200 s/mm2. L'intensità del segnale della parete vescicale nelle sequenze DW-MRI è stata classificata in: alta intensità del segnale della parete vescicale, segnale moderato o nessun segnale.

L'obiettivo primario di questo studio prospettico è valutare se la DW-MRI può contribuire a una diagnosi non invasiva di cistite interstiziale/sindrome del dolore vescicale (BPS/IC).
Gli obiettivi secondari sono

  1. valutare se esiste un legame tra la durata della malattia e il segnale della DW-MRI.
  2. Valutare la concordanza tra i valutatori (i 2 radiologi coinvolto nello studio) per definire la rilevanza dell'influenza "operatore-dipendente".
  3. Osservare se esiste un'associazione tra deterioramento della qualità della vita emersa dal questionario SF-36 e l'intensità del segnale (che può essere assente, moderato,
    o alto).

Analisi statistica

Sono state valutate le associazioni tra le variabili qualitative con il test Fisher. Il test Chi-square è stato usato come test per la tendenza lineare delle proporzioni nella valutazione dell'intensità del segnale nella risonanza magnetica nei 2 diversi gruppi di pazienti.
E' stata anche calcolata la differenza nella valutazione del rischio di malattia (con il rispettivo intervallo di confidenza del 95%) tra il gruppo di pazienti che riportavano un segnale alla risonanza magnetica ed il gruppo senza segnale.
Continue variabili sono state confrontate tra i 2 gruppi attraverso il test non parametrico di Mann-Whitney, mentre i confronti tra i 2 gruppi (segnale alto, moderato e nessun segnale) sono stati eseguiti con il test Kruskal-Wallis.
E' stata valutata la concordanza tra le valutazioni ottenute attraverso la risonanza magnetica e la cistoscopia, così come è stata calcolata la corrispondenza del segnale nelle rilevazioni dei 2 diversi valutatori con il coefficiente kappa di Cohen, con una sicurezza del 95%.

Tutti i test sono stati testati in doppio. Il livello alfa di significatività è stato fissato a 0,05. Le analisi statistiche sono state eseguite con il Software STATA versione 15.0 (StataCorp, College Station, TX).

 

Risultati

Nella Tabella 1 troviamo le statistiche descrittive generali su età e durata della malattia per l'intero campione e per ciascun gruppo: pazienti con CI vs pazienti senza CI. L'età media è di 49,97 anni con un intervallo interquartile (tra il primo e il terzo quartile o tra il 25° percentile e 75° percentile) che corrisponde a p25 = 35.50 e p75 = 64.50. L'età media del gruppo con
CI corrispondeva a 45,73 anni, mentre quello delle donne senza CI era di 53.71 anni, con valore P .1989, da cui si evince che non esiste nessuna differenza significativa di età tra i 2 gruppi. Tre pazienti con BPS / CI sono stati esclusi perché hanno abbandonato durante il follow-up; in un caso è stata trovata accidentalmente una massa di origine incerta (che rappresentava un criterio di esclusione), 2 pazienti non sono potuti essere valutati a causa del riempimento incompleto della vescica, inadeguato per la valutazione con risonanza magnetica.

 

  Totale n. 42 No IC N=20 IC n=22 valore p
Età  49.97 anni (35.50-64.50)    53.71 anni (43-68)  45.73anni (32-61) .1989
Durata della malattia 30.31 (9-23) mesi ----------------------- 30.31 (9-23) mesi  

 

La tabella 2 descrive la presenza del segnale nella parete vescicale anteriore con la DW-MRI (Fig. 1), il segnale è stato rilevato in 15 pazienti con BPS-IC su 22, che corrispondono al 68,18% dei pazienti con con BPS-IC, rispetto a 3 su 20 pazienti nel gruppo di controllo, ovvero una positività del 15%. Il valore P = .005 conferma la significatività statistica di questa differenza.

 

Tabella 2 Confronto tra pazienti con CI e senza CI in base alla localizzazione del segnale rilevato dalla DW-MRI sulla parete vescicale anteriore.

Segnale DW-MRI - parete vescicale anteriore no IC IC totale
Segnale assente

17
85%

7
31.82%


24



Segnale presente 3
15%

15
68.18%

18


Totale 20 22 42

 

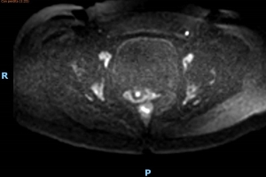
Fig. 1 DW-MRI.  Il segnale presente sulla parete vescicale anteriore in paziente con CI (versione a colori disponibile online).

risonanza1ok


La parete destra della vescica ha mostrato una prevalenza di segnale positivo, sebbene leggermente meno marcato di quello osservato sulla parete anteriore (tabella supplementare 1). D'altro canto  è significativamente più evidente la differenza tra pazienti senza CI senza segnale (18 su 20), rispetto ai 2 pazienti senza CI con segnale presente. Ciò suggerisce un'alta specificità dell'esame, poiché con segnale assente (Fig. 2) esiste un'alta possibilità che la parete vescicale non sia coinvolta dalla malattia, con un'incidenza calcolata al 90%.

 

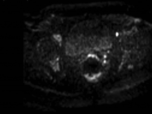
Fig 2 DW-MRI. Segnale assente nella parete vescicale anteriore in un paziente senza CI.

risonanza2ok

I dati della parete laterale sinistra della vescica sono diversi rispetto a quelli ottenuti sulla parete destra. La percentuale di segnali positivi alla DWM-RI nel gruppo no-CI era simile a quello del gruppo CI. I risultati del segnale nella parete posteriore riflettono la tendenza registrata nelle analisi precedenti, ma la positività del segnale non è statisticamente significativa nel gruppo CI (valore P = .263). Confrontando la durata media della malattia (ossia il tempo tra l'insorgenza dei sintomi e la data della cistoscopia in idrodistensione con biopsia) con l'intensità del segnale, si può vedere che la durata della malattia non ha alcuna influenza particolare sull'intensità del segnale. Infatti i pazienti che non hanno avuto alcun segnale avevano una durata media di 43,3 mesi, ipazienti con segnale moderato avevano una durata inferiore media di 20,7 mesi e i pazienti con segnale intenso di 32,6 mesi. Le differenze non erano  statisticamente significative (P =, 82); tuttavia, i risultati sarebbero potuti essere diversi con un numero maggiore di pazienti.

La tabella supplementare 2 riporta i dati che mostrano l'impatto della malattia rispettivamente sulla salute fisica e mentale. Le categorie sull'attività fisica, le limitazioni all'attività fisica e il dolore fisico sono riportate nella tabella Supplementare 3. La tabella supplementare 4 riporta i dati sulle attività sociali, le limitazioni del ruolo emotivo, la salute mentale.

Conclusioni principali: esiste una chiara differenza tra le risonanze del gruppo CI e quelle del gruppo no-CI (17 su 22 casi CI erano positivi, rispetto a 3 casi su 20 senza CI), con un valore P
di .001 ad evidenziare il significato statistico. La sensibilità dell'esame varia tra il 59% e il 68% in base al sito del segnale, mentre la specificità è compresa tra l'85% e il 90%.

Il rischio diagnostico (RD) è calcolato su questi risultati, che significa che se un soggetto ha un segnale positivo alla DW-MRI è probabile che avrà una diagnosi di BPS / CI. Sembra esserci una differenza di rischio tra esposto (rischio esposto = 0,81) e non esposto (rischio non esposto = 0,17) equivalente a RD = 0,64, con valore P = .0008.

La tabella supplementare 3 riporta i risultati dei punteggi ottenuti dalle risposte dei pazienti ai questionari, con un intervallo interquartile, su 3 gradi di segnale riportato dalla risonanza magnetica: assente, moderato e alto. I punteggi sono piuttosto bassi sia per la componente fisica che per quella mentale e in confronto ai valori medi in relazione al sesso e all'età indicano l'impatto della malattia sulla qualità della vita.

Conclusioni secondarie: la Tabella 5 supplementare mostra la correlazione tra la durata media della malattia (mesi) con l'intensità del segnale e non mostra alcuna associazione significativa tra questi 2 dati.
I 2 radiologi che hanno valutato la risonanza magnetica erano all'oscuro della diagnosi. C'è una buona concordanza tra loro nella valutazione delle pareti anteriori e posteriori (Tabella 6 Supplementare), K = 0,695 e K = 0,640 e concordanza equa sulle pareti laterali destra e sinistra, con K = 0,263 e K = 0,397. Nessuna correlazione significativa tra il segnale DW-MRI e la malattia in relazione all'impatto negativo sul fisico (tabella supplementare 7) e all'indice di salute mentale della qualità della vita (Tabella 8 supplementare), misurata com l' SF-36.

 

Discussione

A differenza di un recente studio di un altro autore4 sulla DW-MRI, il primo su pazienti affetti da BPS/CI, abbiamo condotto il nostro studio utilizzando le relazioni di 2 diversi radiologi che non erano a conoscenza della la diagnosi, quindi in cieco. Con la concordanza tra i 2 radiologi è stato valutato il grado di dipendenza dell'esame dall'operatore.

I pazienti in media avevano ricevuto la diagnosi 30 mesi dopo l'insorgenza dei sintomi e avevano iniziato il trattamento una volta stabilita la diagnosi. L'analisi globale dell'assenza o la presenza di un segnale sulle pareti della vescica mostra un'alta specificità ed evidenzia anche un valore altamente predittivo, poiché è probabile che se un paziente ha un segnale positivo alla risonanza magnetica abbia effettivamente cistite interstiziale.
Questi dati sono simili ai risultati riportati dal gruppo di Charlanes.4

L'interpretazione del'RD porta alla conclusione che tra i soggetti che presentano un segnale DW-MRI positivo l'incidenza di casi di cistite interstiziale sia maggiore e che ci sia una differenza statisticamente significativa rispetto ai pazienti che non hanno un segnale DW-MRI elevato.
Avere un segnale positivo è quindi suggestivo di cistite interstiziale.

I pazienti sono stati analizzati in base al tipo di segnale rilevato: assente, moderato e alto. Bisogna sottolineare che per quanto riguarda la parete anteriore della vescica, raccogliendo i pazienti con segnale moderato e alto in un unico gruppo con segnale presente, 17 pazienti su  20 no-CI non avevano alcun segnale, mentre 15 su 22 pazienti con CI presentavono un segnale (Tav 2).

E' evidente una tendenza statisticamente significativa (valore P = 0,001), che dimostra che più intenso è il segnale, più è probabile che sia correlato a una parete vescicale infiammata e viceversa. In effetti, nel gruppo CI ci sono 5 pazienti con segnale assente, 4 con segnale moderato e 11 con alta intensità del segnale, rispetto al gruppo no-CI che vede 17 pazienti con segnale assente, 2 con segnale moderato e 1 con alta intensità del segnale.

Negli studi sul follow-up pelvico, è stato suggerito che durante l'esecuzione della DW-MRI il riempimento vescicale fosse standardizzato e che fossero somministrati farmaci antiperistaltici per evitare un'errata interpretazione artefatta dai movimenti intestinali. Nella pelvi femminile6 infatti è probabile che la distensione della parete vescicale dovuta al riempimento possa alterare la qualità e l'intensità del segnale.

La DW-MRI è un'indagine non invasiva, le cui funzionalità sono state recentemente estese all'imaging pelvico, compresa l'indagine diagnostica di tumori pelvici7-9.

La DW-MRI può inoltre offrire informazioni nella valutazione della risposta al trattamento in confronto ad altre sequenze nel carcinoma vescicale muscolo-invasivo10.
Allo stesso modo, potrebbe fornire informazioni utili sulla risposta al trattamento di BPS / CI in termini di intensità del segnale.

Il nostro studio aveva un aspetto prospettico, il punteggio del dolore era disponibile quando è stata eseguita la DW-MRI. Tuttavia, come nello studio di Charlanes4 il volume della vescica durante la risonanza magnetica non è stata standardizzata e ciò può rappresentare una limitazione.

Due radiologi diversi, ignari della diagnosi, indipendenti l'un dall'altro, hanno effettuato l'analisi delle DW-MRI e hanno classificato i risultati in 3 categorie soggettive (nessun segnale, segnale moderato e alto). L'analisi del segnale sulla parete vescicale con la DW-MRI, riflette il tessuto infiammatorio e potrebbe aiutare a distinguere le BPS / CI in sottoclassi. Inoltre la definizione del limite del coefficientie di diffusione apparente (ADC) e l'analisi della sua variazione attraverso il trattamento terapeutico rappresenterebbe un ulteriore futuro passo avanti  nello studio.

 

Conclusione

L'approccio per la valutazione della vescica utilizzando la DW-MRI nei pazienti affetti da BPS/CI può fornire un'ulteriore dato diagnostico, che potrebbe essere usato per classificare l'ampio spettro di dolore pelvico cronico, aiutando a selezionare i pazienti da sottoporre a valutazioni più invasive, come la cistoscopiacon idrodistensione e biopsia vescicale. Inoltre si rivelebbe particolarmente utile negli studi clinici e nel monitoraggio dell'efficacia terapeutica.

Lo studio è stato approvato dal competente comitato etico per la ricerca nazionale e/o istituzionale ed è stato eseguito in conformità con gli standard etici come stabilito nella Dichiarazione di Helsinki del 1964 e sue successive modifiche o standard etici comparabili.

 

Materiali supplementari

Il materiale supplementare associato a questo articolo può essere reperito nella versione online

Conflitto di interessi: gli autori dichiarano che non vi sono conflitti di interesse.

Finanziamento: questa ricerca non ha ricevuto alcuna sovvenzione specifica da alcuna agenzia di finanziamento pubblica, settori commerciali o no profit.

Dal Dipartimento di Urologia, Fondazione IRCCS Policlinico San Matteo, Pavia, Italia; la clinica ginecologica e ostetrica, Fondazione IRCCS Policlinico San Matteo, Pavia, Italia; il Servizio di Epidemiologia Clinica e Biometria, Direzione Scientifica, Fondazione IRCCS Policlinico San Matteo, Pavia, Italia; l'Unità di Radiologia, Fondazione IRCCS Policlinico San Matteo, Pavia, Italia; e l'unità di urologia, dipartimento di medicina e specialità chirurgiche, radiologia e sanità pubblica, ASST Spedali Civili Ospedale, Università degli Studi di Brescia, Brescia, Italia
Indirizzo corrispondenza a: Porru Daniele M.D., Dipartimento di Urologia, Fondazione IRCCS Policlinico San Matteo, Viale Golgi 19, Pavia 27100, Italia E-mail: Questo indirizzo email è protetto dagli spambots. È necessario abilitare JavaScript per vederlo.
Presentato: 27 gennaio 2020, accettato (con revisioni): 11 marzo 2020
https://doi.org/10.1016/j.urology.2020.03.019
0090-4295
© 2020 Elsevier Inc.
Tutti i diritti riservati. 

 Traduzione italiana: Piancone Rosanna

Bibliografia

  1. van de Merwe JP. Nordling J, Bouchelouche P, et al. Diagnostic criteria, classification, and nomenclature for painful bladder syndrome/interstitial cystitis: an ESSIC proposal. Eur Urol2008. doi:10.1016/j.eururo.2007.09.019.
  2. Oravisto KJ. Epidemiology of interstitial cystitis. Ann Chir Gynaecol Fenn. 1975;69:75–77.
  3. Towner RA,Wisniewski AB, Wu DH, et al. A feasibility study to determine whether clinical contrast enhanced magnetic resonance imaging can detect increased bladder permeability in patients with interstitial cystitis. J Urol. 2016. https://doi.org/10.1016/j.juro.2015.08.077.
  4. Charlanes A, Boudghene F, Chesnel C, et al. Diffusion-weightedmagnetic resonance imaging: a new tool for the diagnosis of bladderpain syndrome/interstitial cystitis. Urol Int. 2019;102:109–112.
  5. van de Merwe J, Nordling J, Bouchelouche P, et al. Diagnostic criteria, classification, and nomenclature for painful bladder syndrome/interstitial cystitis: an ESSIC proposal. Eur Urol. 2008;53:60–67. Epub 2007 Sep 20.
  6. Thoeny HC, Forstner R, De Keyzer F. Genitourinary applications ofdiffusion-weighted MRI imaging in the Pelvis. Radiology.2012;263:326–342.
  7. Fujii S, Matsusue E, Kigawa J, et al. Diagnostic accuracy of theapparent diffusion coefficient in differentiating benign from malignant uterine endometrial cavity lesions: initial results. Eur Radiol.2008;18:384–389.
  8. Takeuchi M, Matsuzaki K, Nishitani H. Diffusion-weighted magnetic resonance imaging of endometrial cancer: differentiation frombenign endometrial lesions and preoperative assessment of myometrial invasion. Acta Radiol Stockh Swed 1987. 2009;50:947–953.
  9. Takeuchi M, Sasaki S, Ito M, et al. Urinary bladder cancer: diffusion-weighted MR imaging—accuracy for diagnosing T stage andestimating histologic grade. Radiology. 2009;251:112–121.
  10. Yoshida S, Koga F, Kawakami S, et al. Initial experience of diffusion-weighted magnetic resonance imaging to assess therapeuticresponse to induction chemoradiotherapy against muscle-invasive bladder cancer. Urology. 2010;75:387–391.