fbpx

Le novità dei prossimi mesi!

 Abbiamo in programma novità entusiasmanti

SCOPRI QUALI


Il virus

L'Herpes Simplex Virus (detto anche herpes virus hominis) è un virus molto debole, che al di fuori dell'essere umano non sopravvive a lungo.
Per questo motivo il contagio può avvenire solo attraverso contatto diretto tra i tessuti della persona infetta e quelli della persona sana classificando questo tipo di infezione tra le malattie sessualmente trasmissibili.

Esistono 2 tipi di herpes: HSV-1 e HSV-2. Quello maggiormente implicato nelle infezioni vaginali è quello di tipo 2 (80% delle infezioni da HSV), seguito dal tipo 1.

Quando l'infezione interessa la zone intime viene definita Herpes genitalis, mentre quando l'infezione coinvolge la zona orale viene definita Herpes labialis.

Sintomi

Infezione primaria

herpes genitalis HSV 2Questo virus inizialmente penetra nel tessuto genitale attraverso rapporti sessuali completi o orali, dando origine all'infezione vulvare, che prende il nome di “infezione primaria” ed è caratterizzata da gonfiore ed eritema delle grandi e delle piccole labbra, prurito e vescicole (afte).
Queste vescicole in seguito si rompono trasformandosi in ulcere o erosioni molto dolorose e facilmente infettabili da funghi e batteri. Possono essere presenti anche: febbre (talvolta elevata), dolore perineale, ingrossamento e indolenzimento dei linfonodi inguinali su entrambi i lati, anoressia, dolore muscolare, malessere e disturbi urinari.

L'infezione spesso coinvolge anche le zone circostanti provocando uretriti, cistiti, vaginiti, infezioni del collo dell'utero e dell'ano. Il bruciore provocato dal passaggio dell'urina sulle ulcere è così intensa che può comportare ritenzione urinaria volontaria o inconscia. Anche la defecazione risulta dolorosa e difficoltosa. In alcuni casi l'infezione primaria decorre senza sintomi.

Infezione secondaria

Dopo 1-3 settimane i sintomi regrediscono, ma il virus non sparisce e continua il suo percorso infettivo. Il virus Infatti abbandona i genitali per proseguire il suo viaggio all'interno dei nervi sensitivi che collegano queste zone al sistema nervoso più centrale dove deporranno il loro patrimonio genetico in attesa di condizioni favorevoli alla riproduzione: stress, affaticamento, esposizione al sole, ciclo mestruale, gravidanza, depressione, traumi ed altre infezioni genitali.

In presenza di tali condizioni il virus effettua il percorso inverso e ritorna nella zona originaria da cui è entrato dando il via all'infezione secondaria.
I sintomi di questa fase sono più deboli e consistono ancora in vescicole ma più localizzate, meno dolorose e dalla guarigione più veloce.

L'infezione da herpes virus può provocare anche stenosi dell'uretra e carcinomi della cervice in quanto facilita la penetrazione dell'HPV nel tessuto ulcerato.

A causa dell'invasione delle vie nervose, l'Herpes virus può portare a infiammazione delle meningi (meningite), delle radici nervose (radicoliti), del midollo spinale (mieliti), dei nervi con relativo dolore (nevralgie). L'interessamento del sistema nervoso può dare origine alla sintomatologia tipica della cistite, della nevralgia del pudendo, della vulvodinia, del dolore pelvico neuropatico.

Diagnosi

La diagnosi può essere effettuata tramite tampone vaginale (viene prelevato il contenuto delle vescicole e messo in coltura), anche se questo tipo di esame rileva molti falsi positivi e non specifica il tipo di virus coinvolto.

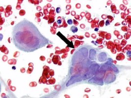
herpes virus microscopioUn'alternativa è l'analisi al microscopio delle cellule, che assumono un aspetto caratteristico: diventano molto grandi, con più nuclei uniti e rigonfi.

Utile la ricerca degli anticorpi specifici contro l'Herpes, molto più attendibile e specifico in quanto riesce anche a stabilire il tipo di virus coinvolto (1 o 2). Tuttavia non riesce a differenziare l’infezione primaria dagli episodi secondari.

L'esame diagnostico più rapido, più usato, più sensibile, più specifico e meno costoso è l’identificazione di antigeni virali mediante metodiche immunologiche (IF-diretta e ELISA).

 

Terapia

La migliore arma contro il contagio e la diffusione dell'Herpes è la prevenzione. Utilizzare un preservativo durante i rapporti con partner sconosciuti o dei quali non si conosce lo stato di salute intima diminuisce il rischio di contrarre l'infezione, sebbene non lo annulli del tutto. In caso di infezione acuta si dovrebbero evitare i rapporti finchè le lesioni non siano guarite completamente.

La terapia ufficiale prevede l'utilizzo di farmaci antivirali (Acyclovir), vaccini (che mantengono attiva la reazione immunitaria contro le recidive), anestetici orali (ibuprofene sembra il più efficace) per ridurre i sintomi nelle fasi acute e locali (xilocaina), soluzioni come il permanganato di potassio che ha azione astringente, antimicotica, antibatterica (preventivo di infezioni concomitanti), metisoprinolo per aumentare le difese locali vaginali.

Purtroppo il virus non è eliminabile ed in seguito ai fattori scatenanti descritti più sopra la recidiva può riattivarsi, pertanto il consiglio migliore è quello di prevenire la recidiva mantenendo elevate le difese immunitarie locali e ripristinando l'equilibrio vaginale laddove alterato.

Approfondimento: Come mantenere e ripristinare l'equilibrio vaginale